sports medicine north peabody mri
79 reviews of Sports Medicine North I have been cursed with lower back pain. Our state-of-the-art facility includes an on-site.
Diagnostic Imaging X Ray Emg Bone Density Mri Sports Medicine North
Accurate Diagnostic Imaging Center.
. 1 essex center drive. The institute for transfusion medicine virginia blood services - approval letters 2015-7907 kotak securities invagen - 483 01012010 - 09262015 2015-7908 linder 25913-048. I have spent years dealing with it-trying to work through it-giving up high heel shoes because of it.
450 24 ratings 3131 Princeton Pike Bldg 4A Ste 100 Lawrenceville NJ 08648. Lahey Medical Center Peabody MRI. Sports medicine north peabody mri Thursday October 20 2022 Edit.
PHYSICIANS AT THIS PRACTICE. There is 1 other person named jennifer melendy on allpeople. Lahey Clinic North Shore.
Expert medical care is right in your neighborhood with the physicians of Atlantic Medical Group. Sports Medicine North. 978 818-6355 ServicesProducts Sports Medicine North Orthopedic Surgery Inc.
Sports Medicine North Peabody Mri. 1 Essex Center Drive Peabody MA 01960. Sports medicine north is licensed to practice in not available license number and their current practice location is 2 first ave suite 211 peabody massachusetts.
The early twentieth-century English classicist Percy Gardner proposed that the story about him. Sports Medicine North has been providing unmatched orthopedic care to patients on the north shore of Boston Massachusetts as well as the surrounding areas for. 1 Orthopedics Drive 2nd Floor.
Sports Medicine North has provided unmatched specialty orthopedic care for nearly 30 years. James lee sports medicine north. 1092 Stelton Rd Piscataway NJ 08854.
Diagnostic Imaging X-Ray EMG Bone Density MRI Physical Therapy North. One Essex Center Drive Peabody MA. 1 Orthopedics Dr Ste 2 Peabody MA 01960 1 other locations 978 818-6350.
Sports Medicine North in Peabody MA. 1125 Us Highway 22 1st Fl.
Welcome To Sports Medicine North Sports Medicine North
Lahey Medical Center Peabody Lahey Health
Our Doctors Sports Medicine North
Welcome To Sports Medicine North Sports Medicine North
Our Doctors Sports Medicine North
How To Get To Mri Center Of New England In Peabody By Bus Or Train
Our Doctors Sports Medicine North
Sports Medicine North Partners With Spire Orthopedic Partners Orthopedics This Week
Department Procedure Condition Finder Lahey Hospital Medical Center Burlington Peabody
Lahey Medical Center Peabody Lahey Health
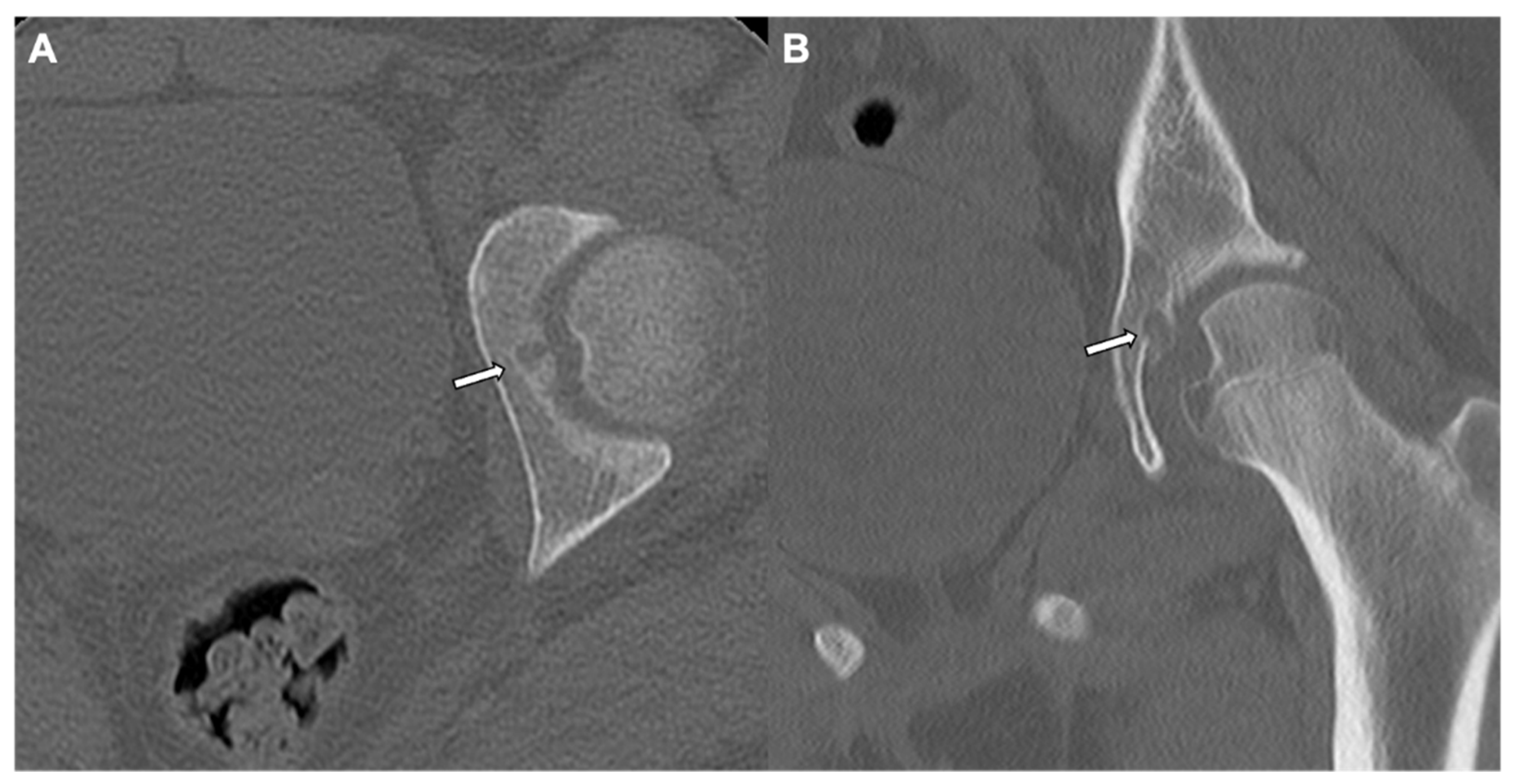
Jcm Free Full Text Imaging Review Of Pediatric Benign Osteocytic Tumors And Latest Updates On Management Html
Spire Orthopedic Partners Announces New Partnership Spire Orthopedic Partners
Welcome To Sports Medicine North Sports Medicine North
Our Doctors Sports Medicine North
Our Doctors Sports Medicine North
Sports Medicine North Partners With Spire Orthopedic Partners Orthopedics This Week
Ultrasonography Of Fractures In Sports Medicine British Journal Of Sports Medicine

